In primo piano
Ultime novità
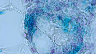
Funziona nei topi la nuova terapia Car-T, non attacca cellule sane
Apre a trattamenti anti-tumorali senza pericolosi effetti collaterali
Vista su Venere una cavità di origine vulcanica
Identificato tubo di lava del diametro di un chilometro
Servono 1 milione di farmaci per 500mila indigenti, al via le Giornate per la raccolta
Dal 10 al 16 febbraio in farmacia. Necessari soprattutto antinfluenzali e medicine bimbi
E' morto il fisico Antonino Zichichi
Scienziato e divulgatore, lottò contro le superstizioni
Ad aprile i primi test per un vaccino contro il virus Nipah
L'annuncio di un team di Tokyo. La sperimentazione 60 volontari in Belgio
Rara medusa fantasma gigante scoperta nel mare dell'Argentina
Può essere grande come uno scuolabus e ha braccia lunghe fino a 10 metri
La nuovissima Ioniq 3 arriverà già nel 2026
Hyundai si appresta a lanciare la Ioniq 3, una vettura elettrica compatta che si posizionerà sotto la Ioniq 5. Ispirata al Concept Three svelato nel 2025, la versione di serie utilizzerà una piattaforma E‑GMP a 400 V e proporrà fari a LED pixelati, aerodinamica attiva e un abitacolo simile a un salotto. Sono previste due batterie: 58,3 kWh per circa 270 miglia di autonomia e 81,4 kWh per circa 375 miglia WLTP. Un motore anteriore da circa 201 CV dovrebbe permettere 0‑100 km/h in circa 7,5 secondi e 105 mph di velocità massima. La funzione di ricarica bidirezionale V2L sarà inclusa.Secondo indiscrezioni, è in sviluppo anche una variante sportiva Ioniq 3 N con due motori e 288 CV, capace di scattare a 100 km/h in meno di sei secondi. Il sistema infotainment debutterà con il nuovo software Pleos, che supporterà aggiornamenti OTA e Apple CarPlay Ultra. Gli interni saranno concepiti come un salotto con sedili flessibili e materiali sostenibili.
La nuova Twingo e-tech è pronta ai blocchi di partenza
Renault reinterpreta l’iconica Twingo come city car elettrica. La piattaforma AmpR Small ospita una batteria al litio‑ferro‑fosfato da 27,5 kWh e un motore da 80 CV; l’autonomia WLTP è di circa 163 miglia (263 km). La ricarica standard avviene con caricatore AC da 6,6 kW; in opzione sono disponibili 11 kW AC e 50 kW DC che portano la batteria dal 10 all’80 % in 30 minuti. La modalità di guida a singolo pedale sfrutta la forte rigenerazione per la guida urbana.L’arrivo sul mercato è previsto per l’inizio del 2026 a un prezzo inferiore a 20.000 euro. Chi acquisterà il R Pass a dicembre 2025 avrà accesso prioritario agli ordini e riceverà un modellino 1:43 e prove su strada anticipate. L’abitacolo propone un quadro strumenti digitale da sette pollici e un touchscreen da dieci pollici con servizi Google e comando vocale. I sedili posteriori scorrevoli aumentano la capacità del bagagliaio fino a 360 litri; sono disponibili fino a 24 sistemi di assistenza alla guida.
Nuovo Ypsilon e Ypsilon hf
Lancia torna sulla scena con una nuova utilitaria Ypsilon. Basata sulla piattaforma CMP di Stellantis, è disponibile in versione elettrica o mild‑hybrid a 48 V. L’edizione elettrica utilizza una batteria da 51 kWh e un motore da 115 kW (156 CV), offrendo fino a 403 km di autonomia WLTP e oltre 500 km in città. La ricarica rapida porta la batteria dal 20 all’80 % in 24 minuti o aggiunge 100 km in 10 minuti; il consumo è di 14,3–14,6 kWh/100 km. La versione mild‑hybrid abbina un tre cilindri 1,2 litri a un sistema a 48 V per 100 CV e 0‑100 km/h in 9 s.L’abitacolo, sviluppato con Cassina, utilizza materiali sostenibili. L’interfaccia SALA (Sound Air Light Augmentation) gestisce illuminazione, climatizzazione e infotainment su due schermi. Il 50 % delle superfici toccate è composto da materiali riciclati o eco-compatibili. All’esterno spiccano la calandra reinterpretata e i fanali posteriori rotondi ispirati alla Stratos.
La Cupra Raval debutterà nel 2026
La Cupra Raval incarna lo spirito ribelle del marchio in una citycar elettrica. Derivata dalla concept UrbanRebel, sfrutta la piattaforma MEB+ del Gruppo Volkswagen e sarà prodotta a Martorell. In arrivo all’inizio del 2026, le versioni Dynamic e Dynamic Plus erogano 210 CV con un’autonomia fino a 450 km, mentre la variante VZ Extreme sale a 226 CV e adotta differenziale autobloccante elettronico e sospensioni adattive.Due batterie previste (38 e 56 kWh) consentiranno uno scatto 0–100 km/h in meno di sette secondi. Lo stile riprende i tratti spigolosi della UrbanRebel con fari a LED, linee tese e dettagli ramati. L’abitacolo orientato al conducente include strumentazione digitale configurabile, display centrale generoso e impianto audio Sennheiser a 12 altoparlanti.
La nuova id.Polo arriva in versione elettrica
Con l’ID.Polo, Volkswagen porta la leggendaria Polo nell’era elettrica. Il pre‑ordine partirà a fine aprile 2026. Costruita nello stabilimento di Martorell e basata sulla nuova piattaforma MEB+, la compatta a cinque porte adotta la trazione anteriore e un prezzo d’attacco sotto i 25.000 euro. Le batterie da 37 e 52 kWh alimentano motori da 85, 99 o 155 kW; la versione GTI da 166 kW arriverà nel 2027. L’accumulatore più capiente consente 450 km di autonomia con ricarica DC fino a 130 kW. Grazie al sistema Travel Assist con riconoscimento di semafori e segnali di stop, la sicurezza cresce.
BMW iX3: nuovo stile e design
La BMW iX3 inaugura l’era della Neue Klasse. Presentata al CES 2026, la pre‑serie del SUV sfoggia due motori che erogano 345 kW/469 CV e 645 Nm di coppia, per uno 0–100 km/h in 4,9 s e una velocità massima di 210 km/h. La sesta generazione dell’eDrive BMW adotta celle cilindriche e una batteria da 108,7 kWh a 800 V, garantendo fino a 805 km di autonomia WLTP.La ricarica ultraveloce aggiunge 372 km in dieci minuti alle colonnine da 400 kW. La ricarica dal 10 all 80 % richiede soli 21 minuti; il connettore NACS permette l’uso della rete Tesla Supercharger e l’opzione AC da 22 kW. La ricarica bidirezionale (V2L, V2H e V2G) trasforma l’iX3 in una batteria mobile.All’interno, il Panoramic iDrive occupa l’intero parabrezza con un display di proiezione da 43 pollici e uno schermo infotainment da 17,9 pollici. L’assistente vocale intelligente, potenziato con Alexa+, consente dialoghi naturali. I materiali riciclati e il pavimento piatto creano un abitacolo spazioso con 510 litri di bagagliaio e un frunk da 58 litri.
Nuova Skoda Epiq: moderna e con un'ottima autonomia
La Skoda Epiq è il primo veicolo di serie a interpretare completamente il nuovo linguaggio stilistico Modern Solid. Presentato come show car a settembre 2025, il compatto SUV urbano misura circa 4,1 metri e offre cinque posti più un bagagliaio da 475 litri. Skoda punta a proporre un’alternativa elettrica accessibile al Kamiq con un prezzo iniziale di circa 25.000 €. La produzione è prevista nello stabilimento di Navarra in Spagna con avvio delle vendite a fine 2026.Le varie batterie da circa 38 kWh a 56 kWh garantiranno fino a 425 km di autonomia WLTP. La piattaforma MEB Entry condivisa con VW ID.Polo e Cupra Raval assicura costi contenuti ed efficienza. Esternamente l’Epiq si distingue per il frontale Tech‑Deck con luci diurne a LED a forma di T e per la linea “tornado” sui fianchi. La verniciatura opaca Cashmere abbinata a dettagli neri conferisce robustezza.
Meduse e anelli galattici, nell'archivio di Hubble 1.300 anomalie
Scovate tra 100 milioni di immagini in poco più di 2 giorni, grazie all'IA
Marte, Perseverance completa il primo percorso pianificato dall'IA
Passo avanti verso un'esplorazione planetaria sempre più automatizzata
Entra nel vivo la missione della Nasa che mapperà la bolla attorno al Sistema solare
Fornirà anche dati utili per previsioni del meteo spaziale in tempo quasi reale
Dalle Prealpi bergamasche riemerge il cranio di un antico rettile marino corazzato
E' un giovane placodonte vissuto oltre 200 milioni di anni fa
Compie 100 anni la teoria di Fermi che ha portato ai computer quantistici
Descrive la distribuzione statistica delle particelle, pubblicata il 7 febbraio 1926
Terre rare, diventa più facile l'estrazione dagli scarti dell'attività mineraria
Grazie a una nuova tecnica che deve ancora essere perfezionata per l'uso su larga scala
Pubblicate le graduatorie del Programma Ricerca, Innovazione e Competitività
Bernini (Mur) "Il dopo PNRR sarà una nuova stagione per la ricerca"
Con il senso del ritmo si nasce, ma non con quello della melodia
Lo indica lo studio sui neonati condotto all'Iit
Dalla Via Lattea il principale indizio delle origini cosmiche della vita sulla Terra
Una grande molecola prova che le basi della vita precedono la nascita delle stelle
Salvezza possibile per il cielo più buio e limpido al mondo
Primo stop al complesso industriale vicino all'osservatorio astronomico di Paranal in Cile
Ai piedi del Monviso delle insolite stalagmiti di ghiaccio
Inverno freddo e infiltrazioni d'acqua all'origine delle formazioni
Brillamenti solari come le valanghe, al via da piccole perturbazioni
La genesi osservata per la prima volta, grazie al Solar Obiter dell'Esa
Errori nella riparazione del Dna alla base della perdita di abilità
Motorie e cognitive, osservato in persone con disturbi del neurosviluppo
Sole più attivo che mai, decine di brillamenti in pochi giorni
L'ultimo di classe X4.2 ha innescato blackout radio in Europa e Africa
I neonati più veloci dell'IA, riconoscono gli oggetti già a 2 mesi
Capire come imparano potrebbe ispirare modelli più efficienti
Scoperto il circuito cerebrale al cuore del Parkinson, possibili terapie mirate
Primi test sui pazienti con un nuovo trattamento non invasivo
Se si dorme male in un letto nuovo, il segreto è in un gruppo di neuroni
La scoperta, nei topi, apre a futuri farmaci anti-insonnia
Industria e ricerca insieme per non perdere le opportunità quantistiche
Al centro del convegno Quantum Leap a Roma organizzato da Cotec
Una nuova banca dati per il gemello europeo della Terra
Sviluppata da Eumetsat, per alimentare il modello