Pallade Veneta - Un ver qui parasite les serpents découvert dans le cerveau d'une Australienne

Un ver qui parasite les serpents découvert dans le cerveau d'une Australienne


Un ver qui parasite les serpents découvert dans le cerveau d'une Australienne
Un ver qui parasite les serpents découvert dans le cerveau d'une Australienne / Photo: Handout - Université nationale australienne/AFP

Un ver rond, qui parasite généralement les serpents, a été découvert pour la première fois sur un être humain, extrait "vivant et se tortillant" du cerveau d'une Australienne lors d'une intervention chirurgicale, ont annoncé mardi des médecins australiens.

Taille du texte:

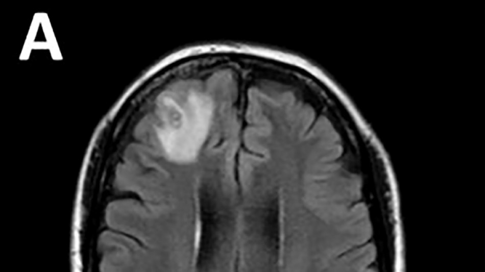
Les médecins ont découvert une "lésion atypique", grâce à un examen IRM, dans la partie frontale du cerveau de l'Australienne, âgée de 64 ans, qui souffrait de pertes de mémoire.

Il s'agissait d'un Ophidascaris robertsi, un ver rond de huit centimètres qui, selon les chercheurs, est un parasite des kangourous et des pythons, en Australie. Il parasite des animaux dans d'autres régions du monde, mais il n'avait encore jamais été détecté sur un être humain.

"Il s'agit du tout premier cas humain d'Ophidascaris décrit dans le monde", a déclaré le docteur Sanjaya Senanayake, spécialiste des maladies infectieuses.

"À notre connaissance, c'est également le premier cas impliquant le cerveau d'une espèce de mammifère, humaine ou autre", a-t-il précisé.

Cette découverte a fait l'objet d'un article dans la revue "Emerging Infectious Diseases".

Les scientifiques pensent que l'Australienne a été parasitée par des plantes comestibles, probablement contaminées par des larves présentes dans des excréments de serpents.

Le parasite, dont la "structure en forme de fil" est apparue sur les scanners cérébraux, a ensuite été identifié grâce à des tests ADN.

"Il n'est jamais facile ni souhaitable d'être le premier à être malade de quoi que ce soit au monde", a ajouté le Dr Senanayake, "je ne saurais trop exprimer notre admiration pour cette femme, qui a fait preuve de patience et de courage tout au long de ce processus."

Selon le Dr Senanayake, il est "probable que d'autres cas soient identifiés à l'avenir".

B.Fortunato--PV

En vedette

Faure à la rescousse de Lecornu pour sauver le budget de la Sécurité sociale

Le PS sauvera-t-il Sébastien Lecornu ? Le patron du parti Olivier Faure a appelé ses députés à voter mardi pour le projet de budget "de compromis" de la Sécurité sociale menacé de rejet par les refus de LR et d'Horizons de le soutenir.

Royaume-Uni: face à la déferlante des traitements contre l'obésité, un chef star allège son menu

Quand le chef star britannique Heston Blumenthal, trois étoiles au Michelin, a commencé à suivre un traitement contre l'obésité, il a perdu l'appétit. Convaincu que le succès de ces médicaments va bouleverser la restauration, il propose désormais une version allégée de son menu phare.

L'art-thérapie comme alternative à "la machine psychiatrique industrielle"

Dans le salon d'un parfait inconnu à Marseille, Yann Klimenko donne un dernier coup de pinceau à sa toile avant d'achever sa séance d'art-thérapie. "C'est plus sympathique qu'un médicament", témoigne le quadragénaire atteint de schizophrénie qui y voit une alternative bienvenue aux soins institutionnels.

Des experts nommés sous Trump chamboulent les recommandations vaccinales sur l'hépatite B

Un groupe d'experts nommés par le ministre de la Santé vaccinosceptique de Donald Trump a décidé vendredi de cesser de recommander le vaccin contre l'hépatite B à l'ensemble des nouveau-nés, et ce contre l'avis de nombreux soignants.

Taille du texte: